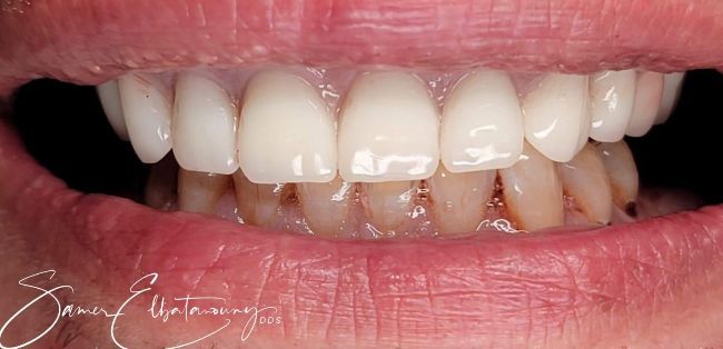
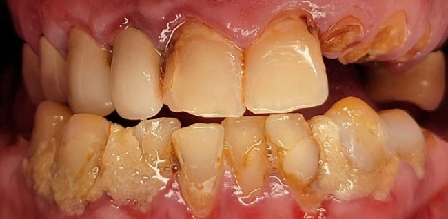
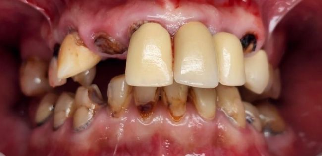
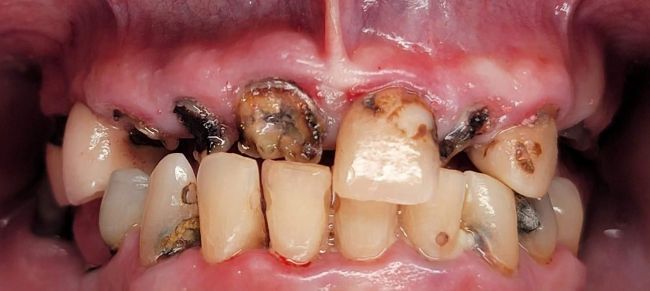
Fotos del antes y después de procedimientos dentales
Bienvenido a la galería de cosméticos de Ivanhoe Dental Group: ¡página de antes y después!
Descubra las impresionantes transformaciones de sonrisa creadas por nuestro equipo de talentosos dentistas: dirigido por el Dr. Salem y el Dr. Shah, el equipo incluye al Dr. Gurukkal, el Dr. Arrietta y el Dr. Bhullar. Nuestra práctica en Riverdale se dedica a ayudar a los pacientes a lograr sus sonrisas perfectas con soluciones de odontología cosmética hechas a medida.
Transformaciones antes y después
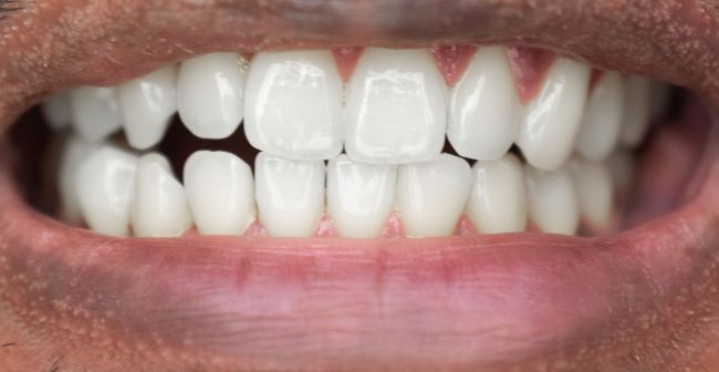
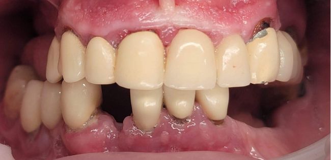
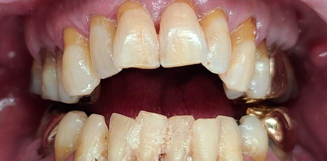
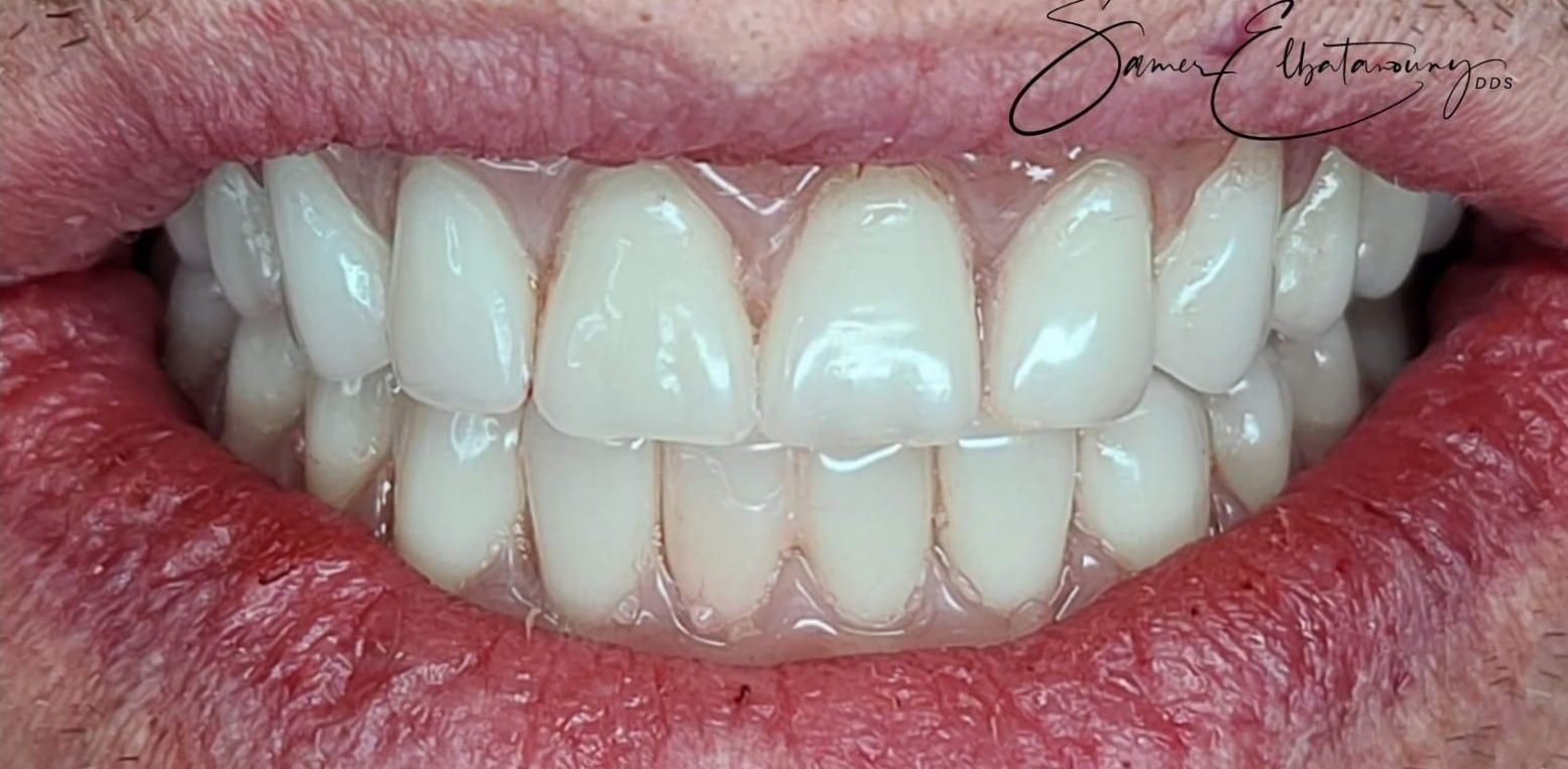
Nuestra galería de antes y después le mostrará los sorprendentes resultados de nuestros tratamientos de odontología cosmética. Las imágenes muestran las sorprendentes transformaciones que han experimentado nuestros pacientes, desde corregir sus imperfecciones dentales hasta lograr una sonrisa radiante y segura. Explore la galería y vea cómo la odontología cosmética puede mejorar la estética de sus dientes.
Descripción general de la galería
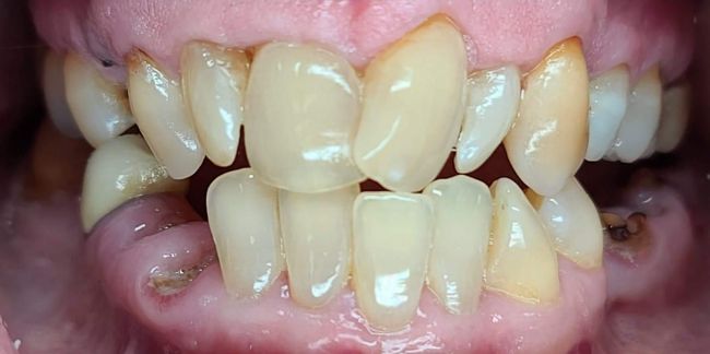
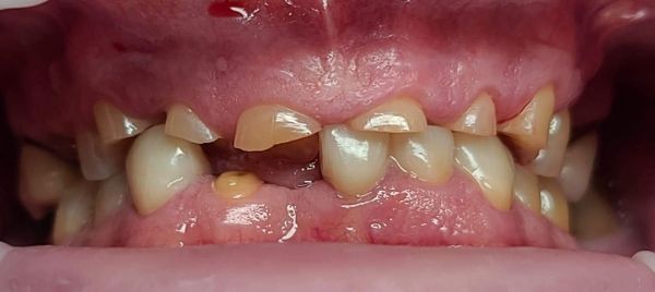
Lo invitamos a ver una colección cuidadosamente seleccionada de fotografías de antes y después que demuestran los poderes transformadores de la odontología cosmética. Cada foto representa una transformación de sonrisa real lograda por los dentistas de nuestra oficina en Riverdale, Illinois.
Esta galería ofrece una mirada a la amplia gama de procedimientos dentales cosméticos disponibles en Ivanhoe Dental Group. A continuación se ofrece una descripción general de lo que puede esperar:

Blanqueamiento dental: disfrute de los espectaculares resultados de los tratamientos profesionales de blanqueamiento dental que pueden alegrar su sonrisa. También eliminan las manchas rebeldes y devuelven el brillo natural a los dientes.
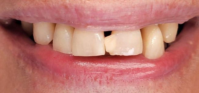
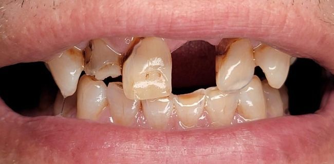
Carillas dentales: vea los increíbles resultados del antes y el después de las carillas dentales. Las carillas pueden corregir una amplia gama de problemas estéticos, como astillas, grietas y manchas. También se pueden utilizar para rellenar huecos o mejorar desalineaciones.
Ortodoncia: descubra los beneficios que cambian la vida de los tratamientos de ortodoncia, como aparatos ortopédicos y alineadores. Estos tratamientos se centran en la alineación dental y trabajan para enderezar los dientes y corregir la mordida.
Unión compuesta: conozca la versatilidad de las uniones compuestas para reparar imperfecciones dentales menores. La unión compuesta se puede utilizar para restaurar la apariencia y función de los dientes.
Contorno de las encías: vea los cambios sutiles pero impactantes que se pueden lograr con el contorno de las encías. El contorno de las encías puede mejorar la estética de su sonrisa al mejorar la línea de las encías y crear una mejor simetría.
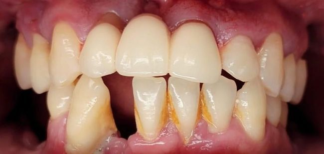
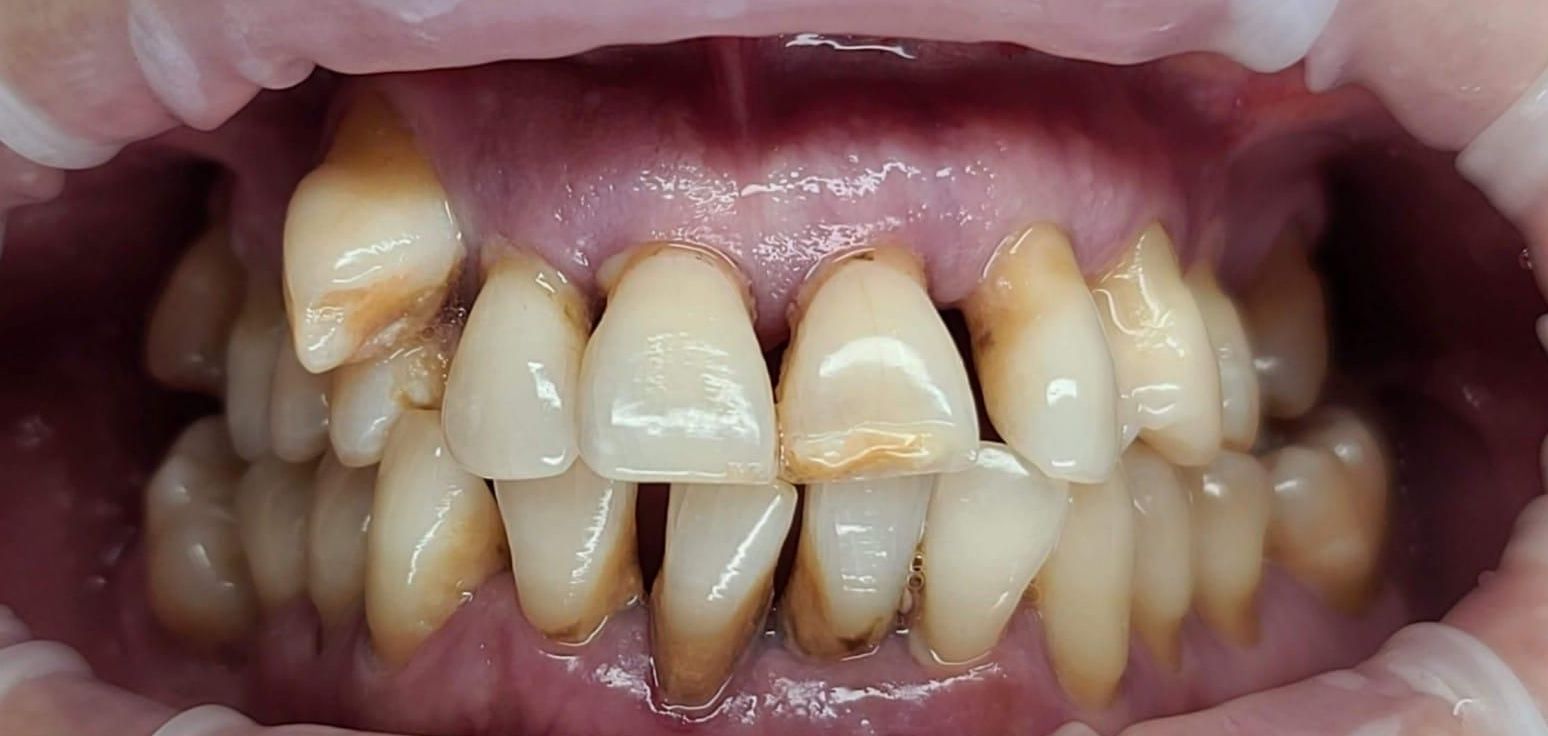
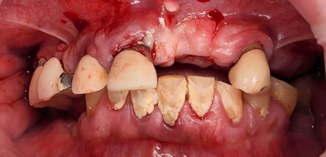
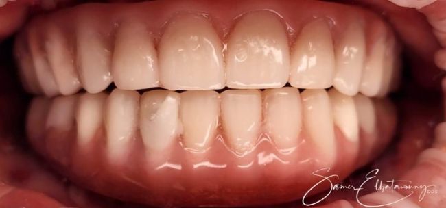
Rehabilitación bucal completa: Maravíllate con las transformaciones de una sonrisa que solo son posibles con la reconstrucción bucal completa. Este enfoque personalizado de tratamiento aborda múltiples preocupaciones dentales para restaurar la salud, la funcionalidad y la estética en toda la boca. El resultado es una sonrisa que se ve y se siente más hermosa que nunca.
¿Tiene usted alguna pregunta?
No dude en llamarnos al (708) 849 8627
La transformación de tu sonrisa te está esperando
Cada imagen de nuestra galería muestra un motivo para una nueva confianza, una mejor autoestima y una perspectiva más positiva de la vida. Nuestra galería lo inspirará y le brindará información sobre la odontología cosmética.
Programe su consulta ahora
¿Estás listo para comenzar la transformación de tu sonrisa? Llame a Ivanhoe Dental Group para programar una consulta hoy con uno de nuestros dentistas cosméticos. Exploraremos opciones de tratamiento y discutiremos sus objetivos juntos. Juntos, crearemos un plan que le ayudará a lograr la sonrisa que desea. Desbloqueemos el potencial de tu sonrisa. ¡Llama hoy!













































