Implantes Dentales: Antes y Después en Riverdale, IL
Visite nuestra Galería de Implantes Dentales para ver las sorprendentes transformaciones logradas por el tratamiento con implantes dentales. Cada imagen destaca el impacto transformador del tratamiento con implantes dentales al contar una historia de resiliencia, restauración y confianza renovad. Ivanhoe Dental Group, dirigido por el Dr. Salem y su equipo de dentistas, el Dr. Shah, el Dr. Gurukkal, el Dr. Arrietta y el Dr. Bhullar, se enorgullecen de presentar una selección curada de fotografías de antes y después que muestran la precisión y el arte detrás. Terapia con implantes dentales.
Sea testigo del viaje
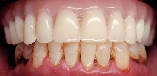
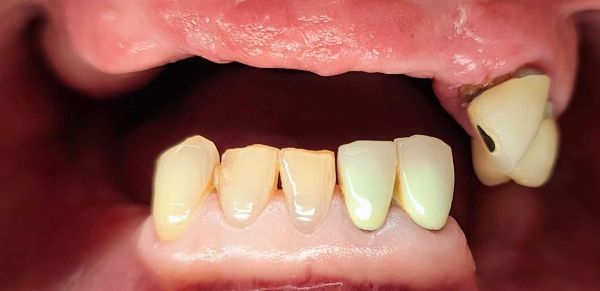
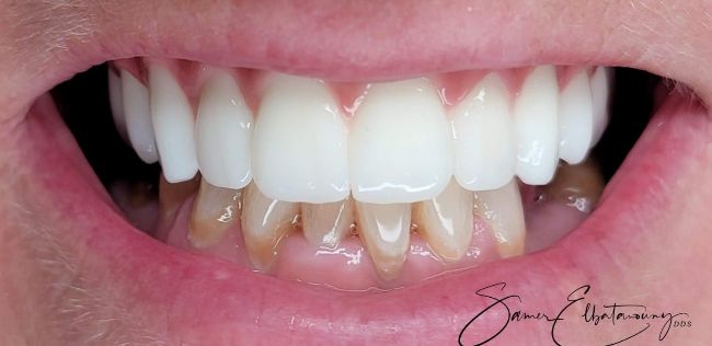
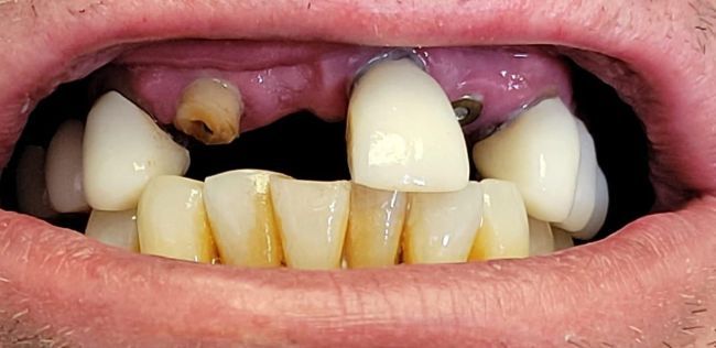
Las imágenes del "antes" muestran los problemas dentales que tenían nuestros pacientes, como dientes faltantes, espacios en blanco, problemas con la función de la mordida y apariencia facial. Estas imágenes cuentan la historia de los desafíos que nuestros pacientes querían superar al optar por el tratamiento con implantes dentales.
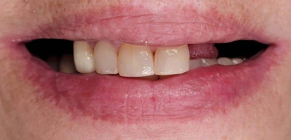
Por otro lado, las imágenes del "después" muestran los resultados transformadores de la terapia con implantes dentales. Sea testigo de la nueva alegría y confianza que irradian nuestros pacientes mientras exhiben sus sonrisas restauradas y su autoestima renovada. Estas imágenes revelan los resultados perfectos y de apariencia natural de los implantes dentales. No sólo mejoran la estética facial y la función oral, sino que también mejoran la salud general.
¿Estás listo para comenzar tu transformación dental? Llámenos hoy para programar una consulta con uno de nuestros dentistas. Evaluaremos su higiene oral, analizaremos sus objetivos de tratamiento y crearemos un plan personalizado para ayudarle a lograr la sonrisa de sus sueños. Descubra los beneficios del tratamiento con implantes dentales en Ivanhoe Dental Group.
Experimente resultados superiores en Ivanhoe Dental Group
Estamos dedicados a brindar atención dental que supere las expectativas. Nos esforzamos por obtener resultados superiores que cumplan y superen los objetivos de nuestros pacientes. Estas son algunas de las razones por las que nuestros pacientes nos eligen para proporcionarles sus implantes dentales:
Comentarios de pacientes
¡Tuve una gran experiencia en esta clínica! Fueron muy complacientes con mi horario. Vi al Dr. Salem para una consulta y fue muy comprensivo, conocedor y pudo explicarme todo en detalle. Definitivamente lo recomendaría























